0
Saltar al contenido
La Clínica
Servicios
casos clínicos
Equipo
Conferencias
Cursos
Carlos
Mis Paisajes
Llamanos
Abrir menú
Cerrar menú
La Clínica
Servicios
casos clínicos
Equipo
Conferencias
Cursos
Carlos
Mis Paisajes
Llamanos
Abrir menú
Cerrar menú
La Clínica
Servicios
casos clínicos
Equipo
Conferencias
Cursos
Carlos
Mis Paisajes
Llamanos
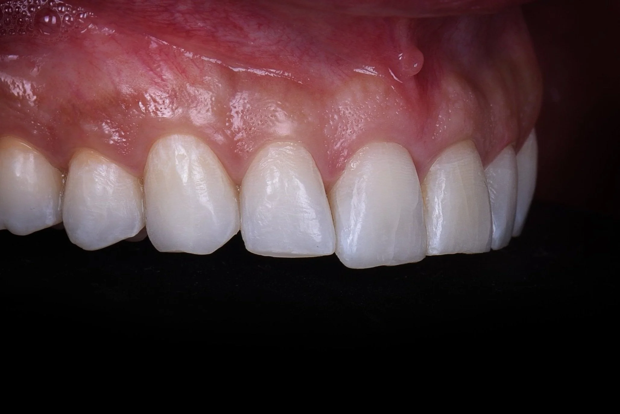
Carillas de porcelana